Moltes patologies del peu poden tenir solució definitiva amb la cirurgia podòlogica.
Nosaltres utilitzem la cirurgia pecutànea o de mínima incisió. Són un conjunt de tècniques quirúrgiques que es van començar a fer a USA i que ja fa bastant temps es van introduir al nostre pais. Tenen com a denominador comú que: són ambulatòries, es fan amb anestèsia local, amb incisions només de 2-4 mm. i es caracteritzen per un postoperatori pràcticament indolor.
Entre les patologies que són susceptibles de millorar amb cirurgia percutànea tenim: dits en urpa, galindons, ulls de poll, esperó calcani...

Imatge real pre-operatòria

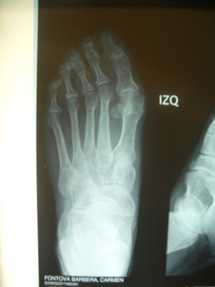
Radiografia pre-operatòria

Anestèsia local

Cirugia percutània o de mínima incisió

Vendatge post operatori

Imatge real post-operatòria

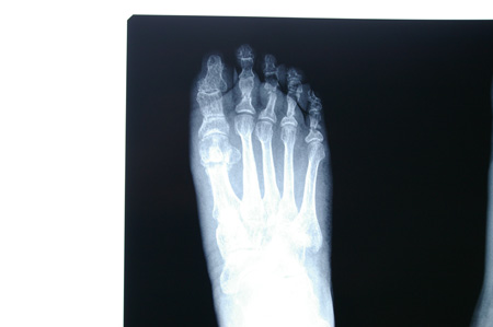
Radiografia post-operatòria

Imatge real pre-operatòria

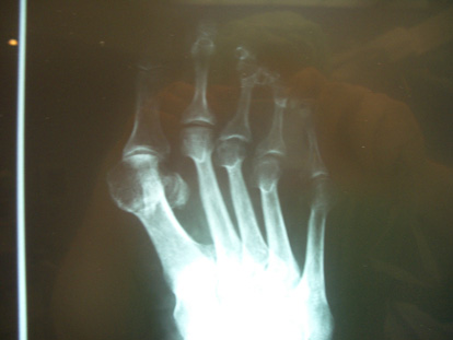
Radiografia pre-operatòria

Imatge real post-operatòria
